当前位置:肿瘤瞭望>资讯>正文

病例赏析︱胰头巨大肿瘤切除联合门静脉肠系膜上静脉部分切除、人造血管间置重建术

作者:肿瘤瞭望   日期:2019/10/15 14:05:24  浏览量:18480

肿瘤瞭望版权所有,谢绝任何形式转载,侵犯版权者必予法律追究。

患者中年男性,因“上腹部饱胀不适3月余”就诊。

付志平 邵成浩  上海长征医院普外四科

 
病史回顾
 
患者中年男性,因“上腹部饱胀不适3月余”就诊。
 
现病史:患者3月余前无明显诱因出现上腹部饱胀不适,进食后症状明显,可自行缓解,皮肤、巩膜无黄染,无恶心、呕吐,无畏寒、发热,无腹痛、腹泻。至当地县人民医院就诊,查腹部CT示:“胰头实性占位,癌可能”,为求进一步诊治,收入我科。发病以来,精神可,食欲佳,大小便正常,体重无减轻。
 
既往史:患者平素体健,否认高血压、糖尿病史,高血脂病史,否认结核、肝炎等传染病史,否认外伤手术史,否认输血史,否认食物及药物过敏史。
 
个人史:生于江苏,在沪工作十余年,否认疫水接触史,无烟酒嗜好。
 
专科查体:心肺听诊无异常,皮肤、巩膜无黄染,腹部稍膨隆,肠鸣音正常,腹部无压痛及反跳痛,全腹未扪及包块,肝脾肋下未及。
 
主要实验室检验:血常规、肝肾功能、凝血功能等未见明显异常,肿瘤指标仅NSE轻度升高(NSE:17.7,余AFP、CA19-9、CEA、CA125等均正常)。
 
检查结果
 
胸部正位片:左下肺炎症可能
 
心电图:窦性心律,QⅢ改变
 
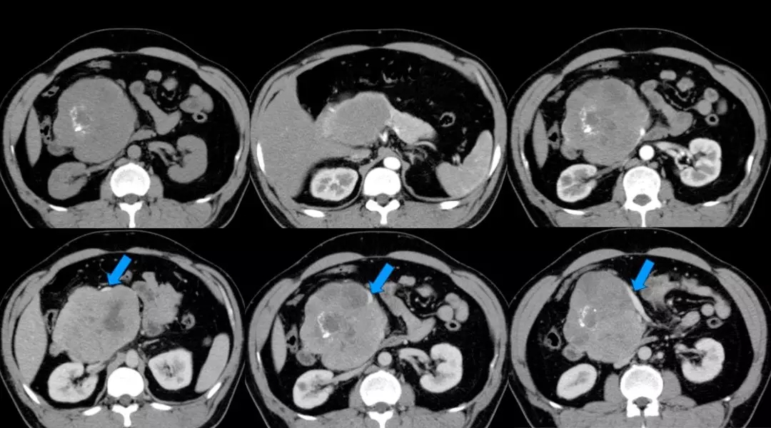
腹部超声:(1)胰头区实性占位(12 cm×10 cm),癌可能;(2)脂肪肝;(3)胆囊息肉;(4)右肾囊肿。
 
 
上腹部增强CT:胰头颈体积增大、胰头、颈部可见巨大软组织肿块影,长径约12 cm,与周围分界不清,其内密度不均匀,见片状低密度影及点片状致密影,增强扫描呈不均匀强化,病灶较胰腺实质强化幅度低,其内可见无强化坏死区。腹腔见数个小淋巴结影。脾周可见软组织密度影,长径约1.8 cm,强化方式与脾脏一致。双肾可见多个囊状无强化低密度影。左肺上叶可见斑片状密度增高影,增强可见明显强化。考虑:(1)胰头颈占位,考虑恶性;(2)副脾;(3)双肾多发囊状;(4)左上肺病变,炎症可能。(蓝色箭头为受侵PV-SMV)
 
 
数字化血管三维成像:(1)胰腺头颈部及相邻体部囊实性肿瘤,考虑实性假乳头状瘤可能大,相邻血管及十二指肠明显受压,门静脉主干旁个别淋巴结肿大;(2)副脾;(3)双肾多发囊肿
 
诊治过程
 
上海长征医院胰胆肿瘤MDT邵成浩教授团队经过讨论,考虑为胰头颈部实性假乳头状瘤,是一种少见的低度恶性胰腺肿瘤,在临床表现和组织病理学上具有与其他胰腺肿瘤不同特点,手术指征明确。由于该类型肿瘤生长缓慢,极少出现梗阻性黄疸,多为体检发现。常见临床表现为腹痛、腹胀、腹部肿块等,肿瘤多为实性或囊实性,可有包膜,与周围组织界限清楚,部分可有粘连。该类肿瘤对放化疗不敏感,手术切除是首选治疗方法。但由于该患者胰头肿瘤较大,生长时间长,已侵犯部分门静脉(PV)及肠系膜上动脉(SMV),手术难度大,需做好充分围手术期准备。
 
围手术期处理
 
术前
 
积极备血
 
肠道准备
 
人造血管准备
 
术前做好医患沟通
 
手术情况:
 
手术方式:胰十二指肠切除+门静脉肠系膜上静脉部分切除+人造血管置入重建+部分空肠切除+空肠近端造瘘术
 
手术时间:9小时40分
 
术中出血约9000 ml,输红细胞悬液36 U,血浆6400 ml,冷沉淀90 U
 
手术完整切除肿瘤标本
 
病理提示胰腺实性假乳头肿瘤,为低度恶性肿瘤,淋巴结未见转移。
 
术后:
 
密切监护
 
控制感染
 
预防胰瘘
 
及时处理并发症
 
术后上腹部增强CT血管重建显示门静脉通畅,肝脏血供良好
 
总结
 
患者肿瘤大,BMI较高,手术操作空间小,难度大,PV-SMV被肿瘤侵犯,静脉壁薄,术中分离易出血,进一步造成术中操作困难;由于静脉受侵犯距离较长,血管吻合口靠近静脉分叉处,血管管径较细,吻合困难。手术时间长,术中出血多、输血量大,有人工血管置入,术后易出现循环不稳定,内环境紊乱,同时会伴随多重细菌感染的情况出现,围手术期处理难度大,处理此类危重患者需要丰富的临床经验和密切的团队协作,特别是出现相关并发症时需要及时对症处理,避免出现难以纠正的严重并发症。
 
长征医院普四科科室简介
 
 
科室团队照
 
长征医院普外四科(胰腺胆道外科)成立于2015年1月,是国家重点学科,科室编制床位40张,在职主任医师、教授2人,副主任医师、副教授1人,主治医师、讲师4人,住院医师3人,在读硕士、博士研究生5人。学科主攻方向明确,临床特色鲜明:(1)确立了“以外科治疗为主的胰胆肿瘤的综合治疗”为临床主攻方向;(2)以“多学科诊治(MDT)胰胆肿瘤”、“微创胰胆外科手术”和“胃肠胰神经内分泌肿瘤的综合治疗”为学科特色;(3)建立了集传统开放胰腺手术、腹腔镜胰腺手术和机器人辅助手术三位一体的复合胰腺外科技术平台;每年完成各类手术500余例,其中60%为大型复杂胰胆手术。科室成立后已经开展了6项新技术、新业务:(1)新辅助化疗治疗交界可切除和局部进展期胰腺癌,肿瘤降期后手术,提高了远期生存率;(2)整块切除肠系膜根部En-bloc清扫治疗胰头癌,已经实施150余例,提高了胰腺癌根治水平;(3)血管先行的胰十二指肠切除术治疗胰头癌,大大提高手术安全性;(4)改良Appleby术+联合门静脉切除术治疗胰体癌;(5)挑战胰腺恶性肿瘤侵犯肠系膜上动脉无法手术的外科“禁区”,首次在国内报道了联合肠系膜上动脉切除重建的胰腺恶性肿瘤根治手术经验,多次在全国性大会交流;(6)胰腺神经内分泌肿瘤的专病治疗:牵头成立中国抗癌协会胰腺神经内分泌肿瘤学组,牵头制定了国内首个小于2cm无功能性胰腺神经内分泌肿瘤诊疗专家共识,多次牵头举办全国及华东地区胰腺神经内分泌肿瘤研讨会。承担了临床医学本科五年制、八年制本科、实习教学和胰腺胆道外科专业进修医师的临床教学任务,作为上海市住院医师规范化培训基地及国内首批普外科专科医师培训基地,承担上海市规培医师、国家专培医师的培训任务,同时是硕士研究生、博士研究生培养点。科室获国家自然科学基金和上海市科技发展基金各1项,校院基金8项,发表SCI论文6篇。
 
学科带头人简介:
 
 
邵成浩,男,医学博士,教授、主任医师、博士生导师。从事胰腺胆道外科30年,现任海军军医大学附属长征医院普外科主任兼胰胆外科主任,兼任中华医学会外科分会胰腺外科学组委员,中国抗癌协会胰腺癌专业委员会CSNET学组组长,中国医师协会胰腺病专业委员会常务委员,中国抗癌协会胰腺癌专业委员会常务委员,中国医师协会外科分会胆道外科医师委员会常务委员,中国医师协会科分会机器人外科医师委员会委员,上海市医学会普外专业委员会委员,上海市医学会胰腺外科学组委员,《中华胰腺病杂志》编委等学术职务。主持国家自然科学基金、上海市科委基金共4项,入选上海市科委“青年科技启明星”、上海市卫健委“优秀学科带头人”人才计划,发表SCI论文20余篇。

本内容仅供医学专业人士参考


胰腺

分享到: 更多